Únavová zlomenina nártní kosti
Únavová (stresová, pochodová) zlomenina se nejčastěji vyskytuje na druhé a třetí nártní kosti. Pacienty přivádí k lékaři bolest a otok nártu, které vznikly po výrazné zátěži (např. dlouhém pochodě). Bolest se objeví často až po několika dnech, a proto si pacienti bolest nespojují s neobvyklou zátěží. Podstatou postižení kostní tkáně je opakující se nadměrná zátěž. K nadměrné zátěži nepřispívá pouze tělesná hmotnost, ale také způsob obutí a tvar nohy. Nesprávný tvar nohy s nevhodným poměrem délek nártních kosti, je tak jako u metatarsalgií, tak i v případě únavových zlomenin, důležitým faktorem. Lze tedy konstatovat, že únavová zlomenina vzniká v případě metatarsalgie, kdy kost již mechanicky nedokázala odolat zátěži.
Diagnostika

Základem diagnostiky je fyzikální vyšetření lékařem. Na hřbetu nártu se nachází otok, který je bolestivý na pohmat. Důležitá je anamnéza s údajem zvýšené zátěže v posledních dnech. Pacienti udávají nemožnost chůze pro bolest.
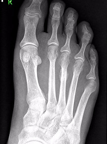
Rentgenový snímek v prvních dnech po rozvoji bolestí nezobrazuje zlomeninu, anebo poškození tkáně. Změna na RTG se projeví až s odstupem několika týdnů (2 až 3 týdny). V místě postižení se s odstupem vytváří nová kostní tkáň a na RTG snímku je nártní kost jakoby obalena shlukem nové kosti (kostní svalek). Postižení nártní kosti je většinou v místě přechodu těla v hlavici. Snímky můžou také diagnostikovat nepoměry mezi nártními kostmi (primární metatarsalgie), anebo změny na prvním metatarsofalangovém skloubení, které jsou typické pro sekundární metatarsalgie.
Přesnější diagnózu v první dnech může poskytnou vyšetření pomocí nukleární magnetické rezonance (NMR), které zobrazí výrazný otok jak kosti, tak i okolní tkáně.
Konzervativní terapie
Léčba únavové zlomeniny je téměř vždy konzervativní. Doporučuje se klidový režim a odlehčení postižené končetiny. Pacienti chodí o berlích, anebo používají speciální boty s odlehčením nártu. Tyto boty se často používají po operacích přednoží. V lehčích případech je přednoží stabilizováno pevnou bandáží a pacienti používají normální botu s pevnou podrážkou. Příznaky se v případě odlehčení postupně vytrácejí za 3 až 4 týdny.
Operační terapie
Operační léčba je v případě únavové zlomeniny raritní. V ojedinělých případech vzniká po několika měsících v místě zlomeniny pakloub (nezhojená zlomenina). V těchto případech se pakloub stabilizuje dlahou a šrouby.
